Röntgen
Weltweit erster röntgenfähiger Dummy
Der biofidele PRIMUS-Dummy ist der weltweit erste röntgenfähige Dummy – und genau das ist es, was den Vergleich zwischen realen und nachgestellten Verletzungen bzw. Beschädigungen so besonders macht.
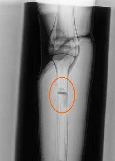
Direkt nach einem Crashtest können durch medizinisches Röntgen Beschädigungen an Knochen- und Gewebeteilen des PRIMUS-Dummys sichtbar gemacht werden. Durch diese direkten Einblicke können so Rückschlüsse auf reale Verletzungen gezogen werden und ermöglichen darüber hinaus eine Einstufung in die vereinfachte Verletzungsskala (Abbreviated Injury Scale (AIS)).
Obduktionslabor
CTS hat ein neues Obduktionslabor eröffnet, das künftig alle Analysen an einem Ort bündelt. Das Labor ermöglicht sowohl manuelle Obduktionen als auch Röntgenuntersuchungen und liefert damit detaillierte Einblicke in Unfallmechanismen und Schadensbilder. Mit der Einrichtung stärkt CTS seine Expertise in der Sicherheitsforschung und bietet Kunden praxisnahe, fundierte Ergebnisse. „Unser Ziel ist es, Erkenntnisse für die Unfallforschung und Sicherheitsentwicklung noch gezielter zu gewinnen“, erklärt Dr. Dobberstein. Das Labor steht ab sofort für interne Analysen sowie Kundenprojekte zur Verfügung.

Auswertung der Röntgenbilder, PRIMUS breakable
Schädelbruch

Vorteile:
- Direktes Röntgen nach dem Crashtest
- Sofortige Visualisierung von Frakturen
- Vergleich der Beschädigungen / Verletzungen zwischen Dummy und Mensch
Beispiel der technische Auswertung anhand des PRIMUS breakable
Technische Obduktion - Fotodokumentation der Verletzungen
Gutachten über die technische Obduktion (AIS-Auswertung)
Ihre Ansprechpartner

Dipl.-Ing. Peter Schimmelpfennig
Geschäftsführender Gesellschafter













